






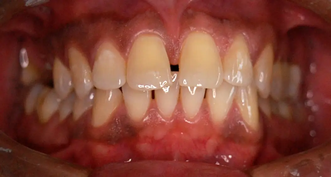
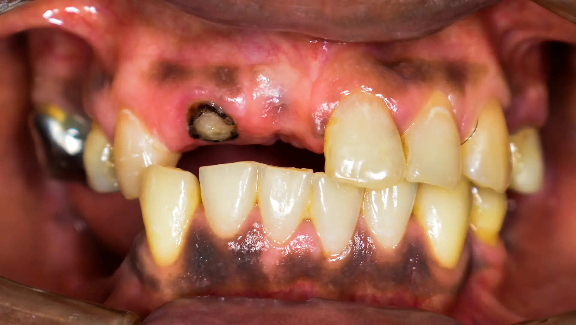
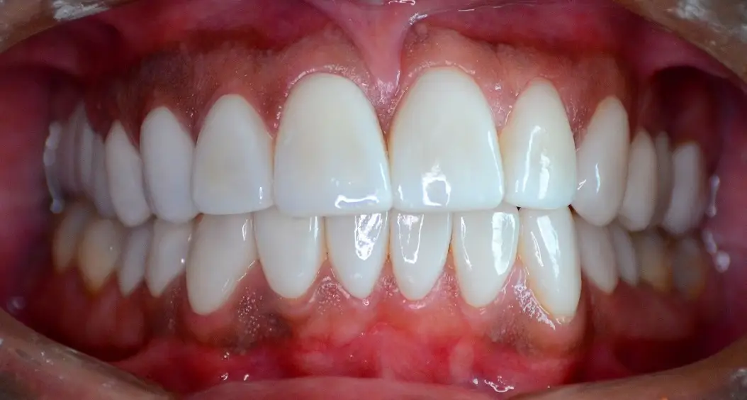
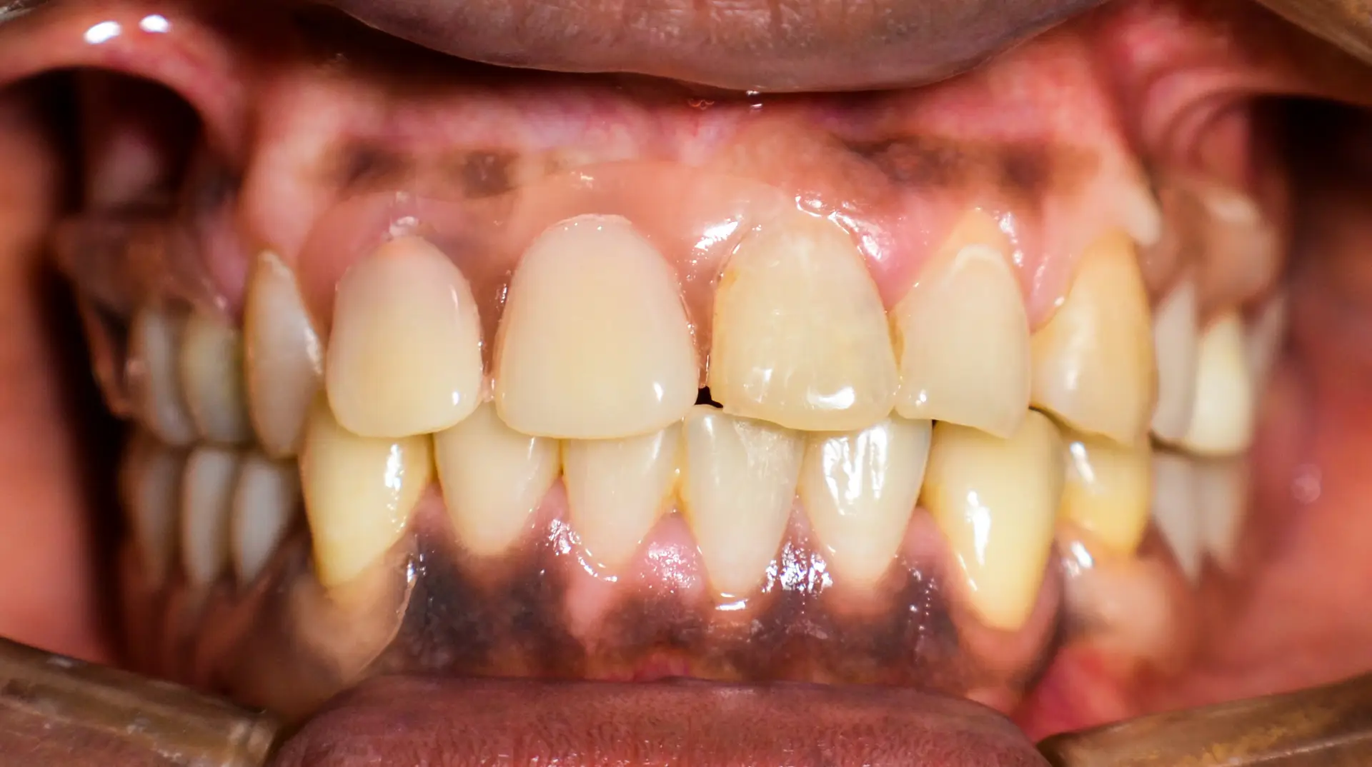
Estamos encantados de ofrecerte una amplia gama de servicios de odontología y estética dental para ayudarte a lograr la sonrisa que siempre has deseado.
Nuestra filosofía es la prevención y promoción en salud oral, brindamos a nuestros pacientes una atención personalizada y confiable para que ellos sepan qué procedimiento haremos en desarrollo del tratamiento odontológico indicado o requerido.



En un mundo competitivo y globalizado, donde la tecnología y los grandes equipos son cada vez más comunes, destacar en el sector dental no es sencillo. La prontitud, la responsabilidad y la honestidad siguen siendo valores esenciales para sostener un negocio exitoso.
Con una franquicia ORAL24, tendrás el respaldo de una marca registrada y reconocida, con más de cuatro décadas de trayectoria y miles de sonrisas recuperadas. Nuestro prestigio te brinda la confiabilidad y el impulso que necesitas para iniciar y hacer crecer tu clínica dental.
Copyright © 2025. Oral 24 | Diseño Ingenial Web
Pedir Consulta